Δρ. Δημήτρης Χατζημπούγιας

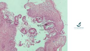
Ο οισοφάγος Barrett είναι η μετατροπή της επιφάνειας του τοιχώματος του οισοφάγου (ο βλεννογόνος του) σε επιφάνεια που μοιάζει με αυτή του στομάχου (γαστρική μεταπλασία – πρόδρομες αλλοιώσεις Barrett). Επιπλέον υπάρχουν αλλοιώσεις των κυττάρων σε αυτές τις θέσεις, όπου εμφανίζονται τα “καλυκοειδή κύτταρα” (βλέπε βέλη στην φωτογραφία). Αυτά τα κύτταρα χαρακτηρίζουν πλέον την γαστρική μεταπλασία ώς εντερική μεταπλασία. Η τελευταία κατάσταση είναι η χαρακτηριστική αλλοίωση της πάθησης που ονομάζεται “οισοφάγος Barrett”.
Στην φωτογραφία απεικονίζεται τμήμα από το τοίχωμα του οισοφάγου (βιοψία). Τα βέλη αναδεικνύουν τα “καλυκοειδή κύτταρα”. Ο οισοφάγος Barrett διαγιγνώσκεται συνδυάζοντας τα ευρήματα του παθολογοανατόμου στο μικροσκόπιο (μετά τη λήψη της βιοψίας από τον γαστρεντερολόγο), με τα ευρήματα του γαστρεντερολόγου κατά την οισοφαγοσκόπηση. Η μικρή πιθανότητα που έχει αυτή η πάθηση να αναπτύξει δυσπλασία (βλέπε άρθρο “Οισοφάγος Barrett με δυσπλασία”), η οποία μπορεί να εξελιχθεί σε καρκίνο, θέτει την ανάγκη συστηματικής παρακολούθησης από τον γαστρεντερολόγο με την διενέργεια οισοφαγο-γαστροσκόπησης και την λήψη βιοψίας για σύγκριση της εικόνας με την αρχική εικόνα (που είχε τεθεί η διάγνωση αρχικά). Υπάρχουν περιπτώσεις που τα “καλυκοειδή” κύτταρα – η παρουσία των οποίων θα καθορίσει την διάγνωση- δεν είναι εύκολα ορατά κατά την παρατήρηση στο μικροσκόπιο. Τότε ο παθολογοανατόμος έχει στην διάθεσή του ειδικότερες τεχνικές (ιστοχημικές χρώσεις – Alsian Blue – PAS διαστάση) που μπορεί να χρησιμοποιήσει στο υλικό που εξετάζει και οι οποίες θα τον βοηθήσουν να αποκαλύψει αυτά τα κύτταρα.