Δρ. Δημήτρης Χατζημπούγιας

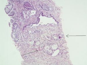
Τα βέλη υποδεικνύουν εστίες ύποπτες για καρκίνο του προστάτη
Πολλές φορές μια αυξημένη τιμή του δείκτη PSA στο αίμα, σε συνδυασμό με θετική δακτυλική εξέταση (DRE), μπορεί να υποδηλώνει την παρουσία προστατικού καρκίνου. Ο ουρολόγος θα αποφασίσει αν θα προβεί σε βιοψία προστάτη δια λεπτής βελόνης, ώστε να διερευνήσει ο παθολογοανατόμος προσεκτικά και με ενδελεχή τρόπο όλο το υλικό της βιοψίας για αποκλείσει ή επιβεβαιώσει κακοήθεια. Συχνά όμως μια αλλοίωση στην βιοψία μπορεί να προκαλέσει αμφιβολίες για το αν είναι πραγματικά μια κακοήθεια ή αν πρόκειται για μια καλοήθους φύσης βλάβη που δύναται να δίνει “άτυπη” εικόνα, μπερδεύοντας τον παθολογοανατόμο, με κίνδυνο την υπερδιάγνωση. Σε αυτές τις δύσκολες περιπτώσεις στην μικροΔιαγνωστική εφαρμόζουμε διπλές ή κι τριπλές ανοσοχρώσεις, με σκοπό να ξεκαθαρίσουμε την φύση της βλάβης.

Διπλή ανοσοχρώση που αποδεικνύει την παρουσία καρκίνου
Αντίστοιχα προς την περιοχή με τα βέλη της πρώτης εικόνας, βλέπουμε πως η διπλή ανοσοχρώση (AMACR/34ΒΕ12) αποκαλύπτει αδένια τα οποία γίνονται “ροζ” χωρίς να έχουν το καφέ χρώμα περιφερικά, όπως θα αναμένονταν στα φυσιολογικά αδένια. Έτσι με σαφήνεια κι αξιοπιστία μπορεί ο παθολογοανατόμος να δώσει διάγνωση, καθοριστική σύμφωνα με την οποία ο ουρολόγος θα σχεδιάσει την περαιτέρω θεραπευτική πορεία του ασθενή του.